Zubní kámen pod dásní: jak ho odstranit a jaké jsou skutečné triky

Zubní kámen pod dásní: jak ho odstranit a jaké jsou skutečné triky
16 ledna 2026 0 Komentáře Tomáš Voráček

Riziko vzniku zubního kamene

Nízké riziko: 0-30 Střední riziko: 31-60 Vysoké riziko: 61+

Vaše riziková hodnota:

Zubní kámen pod dásní je jedna z nejčastějších příčin zánětů dásní, krvácení, zápachu z úst a dokonce ztráty zubů. Mnoho lidí si myslí, že když si čistí zuby důkladně, nemůže jim kámen vzniknout. To je pravda jen částečně. Kámen se tvoří tam, kde četně zapomínáme čistit - pod dásní, mezi zuby, za zadními zuby. A to je přesně místo, kde běžná kartáčkování a nit neproniknou. Pokud ho necháš, začne poškozovat kost, která drží zuby na místě. A to už není jen o estetice - je to o tom, jestli ti zuby v ústech zůstanou na celý život.

Co je zubní kámen pod dásní a jak se vůbec tvoří?

Zubní kámen je zatvrdlá plak, který vzniká, když bakterie v ústech vytvářejí lepkavou vrstvu na zubech. Tato vrstva se jmenuje plak. Pokud ji neodstraníš během 24-48 hodin, začne se vápníkem z slin vázat a ztvrzovat. A to je přesně ten okamžik, kdy se z plaku stane kámen. A když se to stane pod dásní, už ho neodstraníš kartáčkem ani nití.

Pod dásní se kámen tvoří hlavně u lidí, kteří:

  • Čistí zuby jen jednou denně
  • Nepoužívají zubní nit nebo mezizubní kartáček
  • Pijí hodně sladkých nápojů nebo kávy
  • Mají špatně vyrovnané zuby, kde se plak snadno ukládá
  • Kouří

Když se kámen tvoří pod dásní, nevidíš ho. Nevidíš ho, protože je skrytý. Ale tvoje dásně to cítí. Začnou krvácet při čištění, budou červené, otoknuté a citlivé. To je první varovný signál.

Proč je zubní kámen pod dásní nebezpečnější než ten viditelný?

Neviditelný kámen pod dásní je nebezpečnější, protože:

  • Nevidíš ho - nevíš, že ho máš, dokud nezačneš cítit bolest
  • Neodstraníš ho doma - žádný kartáček, nit nebo ústní voda ho neodstraní
  • Postupně ničí kost pod zuby - a to je nevratné
  • Vede k parodontitidě - zánětu, který může způsobit ztrátu zubů

Podle studií z České stomatologické společnosti má až 70 % dospělých nad 35 let nějakou formu parodontitidy, která vzniká právě kvůli kameni pod dásní. A většina z nich si toho ani nevšimla, dokud nezačali ztrácet zuby.

Jak poznat, že máš zubní kámen pod dásní?

Není to těžké poznat - stačí vědět, na co se dívat:

  • Dásně krvácí při čištění zubů nebo i jen při jídle
  • Zuby se zdají být delší - to je proto, že dásně ustupují
  • Cítíš zápach z úst, i když se čistíš
  • Zuby se cítí volné nebo se pohybují při škrábání
  • Pocit tlaku nebo bolesti při stisknutí zubů

Když ti někdo řekne, že máš zápach z úst, neříkej, že to je jen od jídla. Zápach je často první a největší varování, že něco není v pořádku pod dásní. A nejde o to, že jsi nečistil zuby - jde o to, že bakterie pod dásní vydávají plyn, který má špatný zápach.

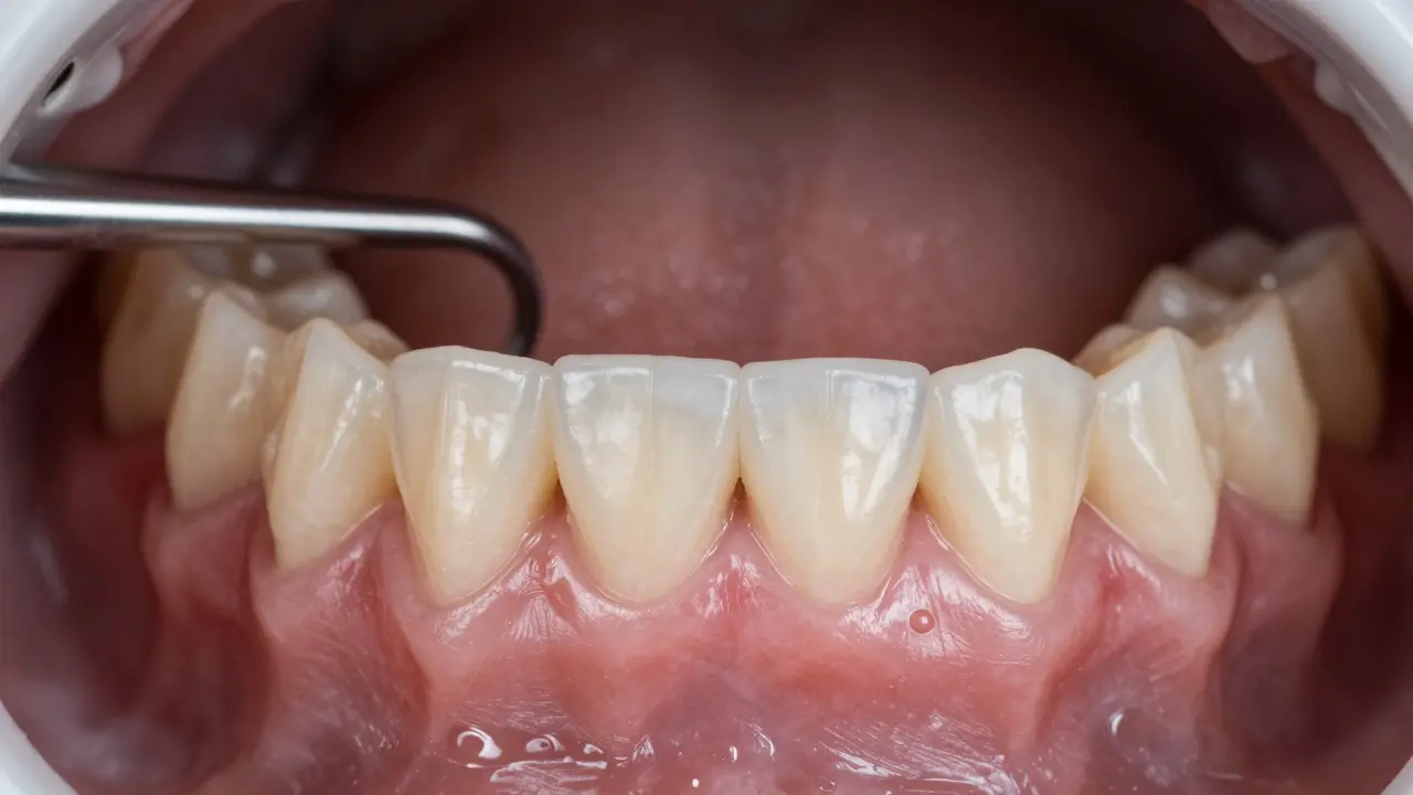
Zubní lékař odstraňuje zubní kámen pod dásní ultrazvukovým nástrojem.

Jak se zubní kámen pod dásní odstraní?

Tady je klíčové: neodstraníš ho doma. Žádná domácí metoda, žádná ústní voda, žádný speciální kartáček to nezvládne. Kámen pod dásní se odstraní jen u zubního lékaře, pomocí speciálních nástrojů.

Postup se jmenuje skalování a korekce povrchu kořene. To zní složitě, ale je to jednoduché:

  1. Zubní lékař nejprve použije ultrazvukový nástroj, který rozpadá kámen na drobné částice - bez bolesti.
  2. Poté použije ruční nástroje, které odstraní zbytky kamenů pod dásní.
  3. Nakonec vyhladí povrch kořene zubu, aby se plak nemohl snadno znovu usadit.

Proces trvá obvykle 30-60 minut. Někdy se dělá ve dvou návštěvách, pokud máš kámen na více zubech. Můžeš cítit lehký tlak nebo pískání, ale nebolest. Pokud máš citlivé dásně, lékař ti může aplikovat lokální anestézii.

Nejde o nějaký „zvláštní“ postup. Je to standardní procedura, kterou každý zubní lékař dělá desítkykrát týdně. Není to nákladné - v Česku stojí celý proces od 800 do 1 500 Kč, v závislosti na rozsahu.

Co dělat po odstranění kamenů?

Po odstranění kamenů je nejdůležitější, abys nezískal znovu. A to je místo, kde většina lidí selže.

Tady jsou 4 pravidla, která ti pomohou:

  1. Čisti zuby dvakrát denně - ráno a večer. Používej kartáček s měkkými štětinami. Nečisti tvrdě - poškozuješ dásně.
  2. Používej zubní nit denně - a to nejen mezi zuby, ale i pod dásní. Při čištění nití se snaž, aby se dostala pod dásňový okraj. To je klíč.
  3. Používej mezizubní kartáčky - pokud máš mezery mezi zuby, jsou ideální. Mají menší štětinky a lépe pronikají pod dásně.
  4. Navštěvuj zubního lékaře každých 6 měsíců - i když nic nebolí. Kámen se tvoří rychle. V šesti měsících můžeš mít zpět to, co ti lékař odstranil před půl rokem.

Nezapomeň: kámen se tvoří rychleji, pokud jíš sladké, piješ kávu nebo čaj, nebo kouříš. Pokud tyto návyky necháš, budeš se vracet k lékaři každý rok.

Jsou nějaké domácí triky, které pomáhají?

Možná jsi slyšel o trikách: sódový prášek, ocet, kokosový olej, čaj z černého teříku. Všechny tyto věci se objevují na sociálních sítích jako „přirozené řešení“. Ale pravda je jednoduchá:

  • Sódový prášek - může poškodit sklovinu zubů, pokud se používá často. Není vhodný pro každodenní použití.
  • Okyselené tekutiny - jako ocet nebo citron - zvyšují kyselost v ústech a způsobují vymývání skloviny.
  • Kokosový olej - může pomoci snížit bakterie, ale neodstraní kámen.
  • Čaj z černého teříku - má antibakteriální účinek, ale nezvládne zatvrdlý kámen.

Tyto triky mohou být doplňkem, ale nikdy náhradou. Pokud máš kámen pod dásní, nečekáš na „přirozené řešení“. Čekáš na lékaře. A to je jediná cesta, která funguje.

Srovnání zdravých a poškozených dásní kvůli skrytému zubnímu kamenu.

Co se stane, když to necháš?

Když necháš zubní kámen pod dásní, postupuje to takto:

  1. První fáze: dásně krvácí, jsou otoknuté - to se jmenuje gingivitida. Je vratná.
  2. Druhá fáze: kámen začne ničit kost pod zuby - to je parodontitida. Už není vratná.
  3. Třetí fáze: zuby se začnou hýbat, dásně ustupují, zuby se vysunou - až do okamžiku, kdy vypadnou samy.

Ve většině případů se ztráta zubů neobjeví najednou. Je to pomalý proces, který trvá roky. A proto lidé nevědí, že mají problém - dokud neztratí zub. A pak už je pozdě.

Podle dat z Ústavu zdravotního pojištění ČR se každoročně v Česku ztratí přes 120 000 zubů kvůli parodontitidě. Většina z nich by se dala předcházet jednoduchým návštěvou u zubního lékaře.

Když už máš zubní kámen pod dásní - co dělat dál?

Po odstranění kamenů je důležité:

  • Nečisti zuby agresivně - můžeš poškodit dásně, které už jsou citlivé
  • Nezapomeň na nit - je to nejdůležitější nástroj pro prevenci
  • Používej ústní vodu bez alkoholu - alkohol suší dásně a zhoršuje zánět
  • Přemýšlej o své stravě - méně cukru, více zeleniny a syrového ovoce
  • Nezapomeň na kouření - kouření zhoršuje krevní oběh v dásních a způsobuje, že se zánět léčí mnohem pomaleji

Neexistuje žádná „zázračná zubní pasta“, která by odstranila kámen. Jen pravidelná péče a pravidelné návštěvy u zubního lékaře.

Je to vůbec nutné jít k lékaři, když nic nebolí?

Ne. Nebolí to, protože nervy v dásních jsou malé. Nebo jsou zablokované bakteriemi. Ale to neznamená, že je všechno v pořádku. Kámen pod dásní se tvoří bez bolesti. Až když začne ničit kost, je pozdě.

Nečekáš na bolest. Čekáš na návštěvu u zubního lékaře každých šest měsíců. A to je jediný způsob, jak si udržet zuby na celý život.

Můžu odstranit zubní kámen pod dásní doma?

Ne. Žádný kartáček, nit, ústní voda nebo domácí prostředek neodstraní zatvrdlý kámen pod dásní. Jediný způsob, jak ho odstranit, je profesionální skalování u zubního lékaře. Domácí metody mohou pomoci s plakem, ale ne s kamenem.

Je odstranění zubního kamene bolestivé?

Obvykle ne. Proces je příjemný a bezbolestný. Pokud máš citlivé dásně nebo velký objem kamene, lékař může použít lokální anestézii. Většina lidí cítí jen lehký tlak nebo pískání. Po proceduře můžeš mít na chvíli citlivé zuby, ale to je dočasné.

Kolik stojí odstranění zubního kamene pod dásní?

V Česku stojí kompletní odstranění zubního kamene pod dásní mezi 800 a 1 500 Kč. Cena závisí na rozsahu problému, na zubní klinice a na tom, zda je potřeba více návštěv. Některé zubní pojištění část nákladů hradí.

Jak často bych měl chodit k zubnímu lékaři?

Každé 6 měsíců. I když nic nebolí. Kámen se tvoří rychle - v šesti měsících můžeš mít zpět to, co ti lékař odstranil. Pravidelné kontroly jsou levnější než léčba ztracených zubů.

Může zubní kámen způsobit ztrátu zubů?

Ano. Kámen pod dásní způsobuje zánět, který ničí kost, která drží zuby. Pokud se nezabere, může vést k parodontitidě a nakonec k tomu, že zuby vypadnou. To je jedna z nejčastějších příčin ztráty zubů u dospělých.