Názvy jednotlivých zubů: Kompletní přehled pro studenty stomatologie

Názvy jednotlivých zubů: Kompletní přehled pro studenty stomatologie
28 prosince 2025 0 Komentáře František Novotný

Každý zub má své jméno. Ne jen tak pro krásu - ale proto, že bez přesného označení by stomatologická praxe ztěžkla. Když student stomatologie poprvé v klinice slyší: „Začněme s 16“ nebo „Máme problém s 37“, neví, o jaký zub jde. A to je přesně ten moment, kdy se rozdíl mezi studentem a odborníkem začíná tvářit. Názvy zubů nejsou jen paměťová cvičení. Jsou základem každé diagnózy, plánu léčby a komunikace mezi lékaři. Pokud je neznáš, neznáš stomatologii.

Proč je důležité znát názvy zubů?

Představ si, že se snažíš popsat, kde máš bolest, ale neznáš názvy částí těla. Řekneš: „Bolí mě tam, kde je ten velký zub za tím, co je vedle nosu.“ To je nepřesné. V stomatologii se neříká „ten zub“, ale „16“. Nebo „55“. A když se toto překládá do zápisu, do radiografie, do lékařského protokolu - chyba v označení znamená chybu v léčbě. V jedné studii z roku 2023, kterou publikovala Česká stomatologická společnost, 28 % studentů prvního ročníku neumělo správně označit všechny trvalé zuby na zubním diagramu. To není malá chyba. To je riziko.

Znát názvy zubů znamená znát svůj nástroj. Stejně jako lékař musí znát pojmy jako „myokard“ nebo „trombocyt“, stomatolog musí znát „první molár“ nebo „druhý řezák“. To není jen vzdělávání - to je bezpečnost pacienta.

Mléčné zuby: Jak se počítají a jak se liší od trvalých

Mléčné zuby nejsou jen „malé verze“ trvalých. Mají svůj vlastní systém označení. V mezinárodní zubní notaci (FDI) se mléčné zuby označují dvěma číslicemi. První číslice je číslo kvadrantu - od 1 do 4. Druhá číslice je pořadí zubu v kvadrantu - od 1 do 5.

Například:

  • 51 - horní pravý střední řezák
  • 64 - horní levý první molár
  • 85 - dolní levý druhý molár

Tyto zuby se objevují mezi 6 měsíci a 3 lety věku. Celkem jich má člověk 20. V každém kvadrantu je 5: dva řezáky, jeden kličkový, dva moláry. Nejsou žádné předkličkové zuby - to je první rozdíl od trvalých. Když se mléčný zub vymění, jeho náhradou je trvalý zub s jiným číslem. Například 55 (dolní levý druhý molár) se vymění za 36 - dolní levý první molár.

Nezapomeň: mléčné zuby nejsou jen „dočasné“. Jsou klíčové pro vývoj čelisti, pro udržení místa pro trvalé zuby a pro učení se mluvit a žvýkat. Pokud se ztratí příliš brzy, může to vést k nesprávnému růstu ostatních zubů.

Trvalé zuby: Systém 1-32 a kvadranty

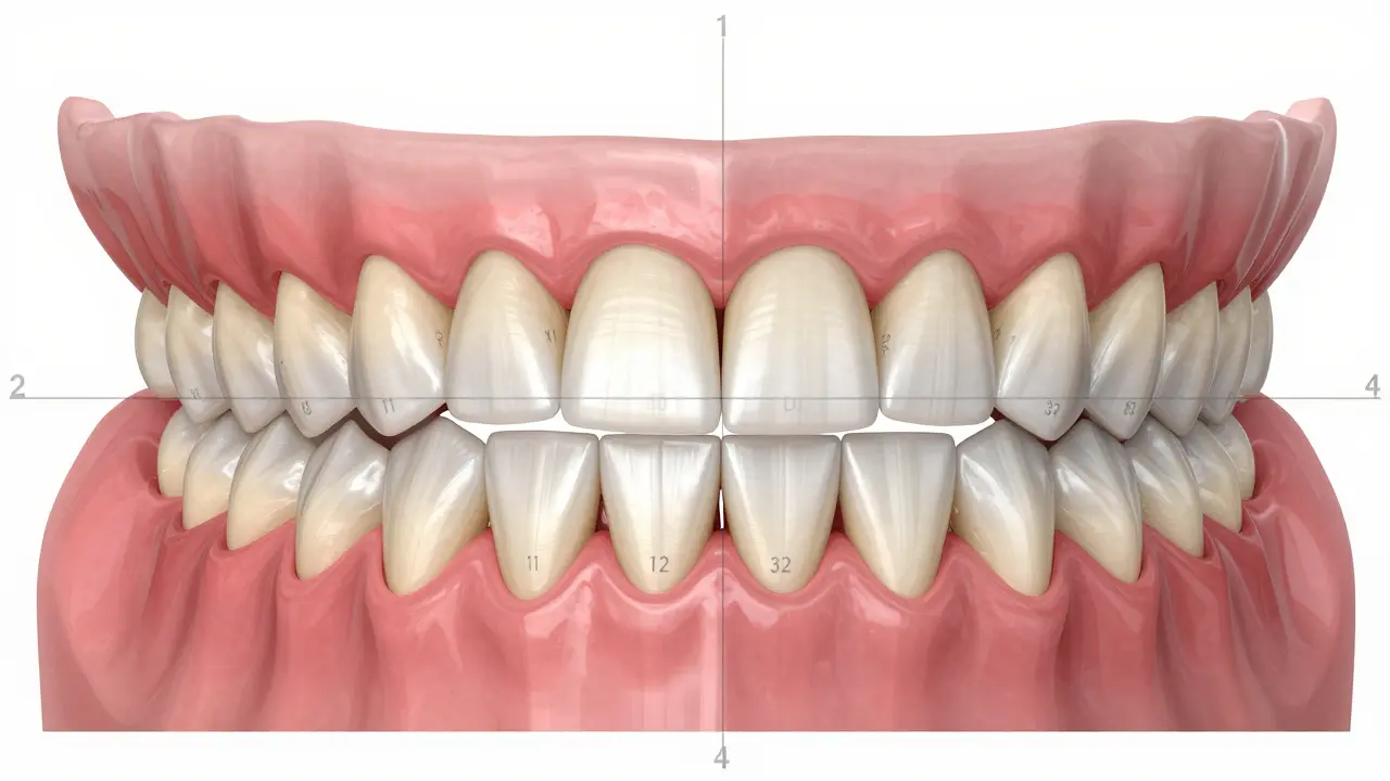
Trvalé zuby se počítají od 1 do 32. Každý zub má své číslo podle pozice v ústní dutině. Systém je jednoduchý: čtyři kvadranty, každý má osm zubů.

Kvadranty:

  • 1 - horní pravý
  • 2 - horní levý
  • 3 - dolní levý
  • 4 - dolní pravý

Ve všech kvadrantech jsou zuby v pořadí:

  1. Střední řezák
  2. Boční řezák
  3. Kličkový
  4. První předkličkový
  5. Druhý předkličkový
  6. První molár
  7. Druhý molár
  8. Třetí molár (zub moudrosti)

Takže:

  • 11 - horní pravý střední řezák
  • 12 - horní pravý boční řezák
  • 13 - horní pravý kličkový
  • 14 - horní pravý první předkličkový
  • 15 - horní pravý druhý předkličkový
  • 16 - horní pravý první molár
  • 17 - horní pravý druhý molár
  • 18 - horní pravý třetí molár (zub moudrosti)

Stejné číslování platí pro ostatní kvadranty. Třetí kvadrant je dolní levý - takže 36 je dolní levý první molár. Čtvrtý kvadrant je dolní pravý - 46 je dolní pravý první molár.

Třetí moláry nejsou u každého. Někteří lidé je nemají vůbec. Někteří mají jen jeden. Někdy se vyskytují i čtyři. To je normální. Ale když je někdo označí jako „18 a 28“, musíš vědět, že jde o zuby moudrosti v horních kvadrantech.

Zubní diagram s červenými kruhy kolem 16, černými tečkami na 36 a trojúhelníkem u 18.

Alternativní systémy: Palmerova a Universalová notace

Ne všichni používají FDI. V USA se často používá Universalová notace. Tam se zuby označují čísly 1-32, ale jinak: 1 je horní pravý třetí molár, 2 je horní pravý druhý molár… až 32 je dolní pravý třetí molár. To je zpětně. Pro studenty z Evropy je to matoucí. Ale pokud pracuješ s americkými dokumenty nebo softwarem - musíš to znát.

Dále je tu Palmerova notace. Tam se používají symboly jako „┘“ pro horní pravý kvadrant, „└“ pro dolní pravý, „┐“ pro horní levý a „┌“ pro dolní levý. Číslo zubu je pak uvedeno uvnitř symbolu. Například: „┘5“ znamená horní pravý druhý předkličkový. Tato metoda je starší, ale stále se používá v některých klinikách a na papírových záznamech. Většina digitálních systémů ji už nepoužívá, ale když vidíš záznam s tímto značením - nezaměňuj to.

FDI je standard v Evropě, v České republice a ve většině zdravotnických systémů. To je ten, který se naučíš nejdřív. Ale když se setkáš s jiným - nezaměňuj to za chybu. Je to jen jiný jazyk.

Zubní diagram: Jak ho číst a kde ho používat

Zubní diagram je jako mapa ústní dutiny. Každý zub je na něm označen číslem. Když vidíš kružítko kolem 16 - znamená to, že tam je plomba. Když je červená čára kolem 36 - znamená to, že je tam zánět dásně. Když je černý trojúhelník u 18 - znamená to, že zub moudrosti je zakařený.

Na diagramu se také značí:

  • Chybějící zuby (např. 18 neexistuje)
  • Plomby (černý kruh)
  • Korunky (černý obvod)
  • Prosté zubní náhrady (čára přes místo zubu)
  • Fraktury (červená čára)

Studenti často dělají chybu: překládají z diagramu do reálného zubu špatně. Například: vidí číslo 25 a myslí si, že je to dolní levý druhý předkličkový. Ale 25 je horní levý druhý předkličkový. Je to v horní čelisti, v levém kvadrantu. Když se to překlopí, léčba bude špatná. Proto se každý den v klinice opakuje: „Který kvadrant? Který zub?“

Uč se číst diagramy jako knihu. Každé číslo je slovo. Každá značka je věta. Když to zvládneš, víš, co se děje v ústech pacienta, aniž bys ho musel dotazovat.

Typické chyby, které dělají studenti

Nejčastější chyba? Zaměnit 16 s 36. Obě jsou první moláry. Ale jedna je nahoře, druhá dole. V praxi to znamená, že se při plánování léčby „vymění“ čelisti. A to je vážná chyba.

Druhá chyba: předpokládat, že všichni mají 32 zubů. Ne. Třetí moláry chybí u 20-30 % lidí. U některých jsou zakařené, u jiných zcela zasazené v kosti. Když v diagramu vidíš 18 a 28, ale pacient říká, že mu je 18 odstraněný - nezapisuj ho jako „chybějící“. Zapiš: „18 odstraněný - 2023“.

Třetí chyba: neznát rozdíl mezi kličkovým a předkličkovým. Kličkový je ten, co je hned za řezáky. Předkličkový je za ním. Kličkový má jednu kořenovou hrot, předkličkový má dvě. To je důležité pro endodontii. Pokud neznáš, jak se tyto zuby liší, nevíš, jak se má léčit kanálek.

Největší chyba však je: neověřovat. Když ti pacient řekne: „Mám vyměněný 36“, neříkej: „Jo, jo.“ Podívej se na rentgen. Podívej se na diagram. Zkontroluj. V stomatologii je největší riziko neznalost, ale druhé největší riziko je předpokládání.

Student stomatologie studuje plastový model zubů a nahlas opakuje jejich čísla.

Kde se to naučíš a jak si to zapamatuješ

Neexistuje zázračný trik. Ale existují metody, které fungují.

  • Praktická cvičení: Každý den si vezmi model zubů a opakuj názvy. Hlasem. Písmem. Na papír. V každém kvadrantu je 8 zubů. Vypíši je pětkrát. Za týden to bude automatické.
  • Diagramy: Tiskni si prázdné zubní diagramy a vyplňuj je. Nejdřív s knížkou, pak bez. Když ti to jde rychle - přecházíš do „přirozeného“ režimu.
  • Praxe: V klinice se ptávej: „Který zub to je?“ Neboj se ptát. Když ti někdo řekne „16“, neříkej „aha“. Řekni: „Takže to je horní pravý první molár?“ Potvrzení ti to zapamatuje.
  • Applikace: Existují aplikace jako „Dental Teeth Quiz“ nebo „Tooth ID“. Umožňují ti testovat se. V každém kvadrantu ti ukážou zub a ty musíš zadat číslo. Pracuješ 5 minut denně - za měsíc to víš.

Nezapomeň: nejde o to, abys to zvládl na zkoušce. Jde o to, abys to zvládl, když ti pacient řekne, že mu bolí „ten zub za tím, co je vpravo nahoře“. A ty mu řekneš: „To je 16. Zkusím ti ho prohlédnout.“

Co dělat, když se to nechce zapamatovat?

Někdo si pamatuje vizuálně. Někdo slyšením. Někdo pohybem. Pokud ti to nejde, najdi svůj styl.

Řekni si: „11, 12, 13 - to je horní pravý řezák, řezák, kličkový.“ Vytvoř si píseň. Napiš si to na papír a přilep na zrcadlo. Při čištění zubů si to opakuj. Každý den. Pět minut. Za týden to bude část tvojí mysli.

Nikdo tě nevyhodí, protože jsi nevěděl, jak se jmenuje 24. Ale když se to stane při léčbě pacienta - může to mít důsledky. Nech si čas. Nech si prostor. Nech si chyby. Ale nech si zapamatovat.

Závěr: Názvy zubů nejsou jen informace - jsou základ

Znát názvy zubů není jako znát názvy měst. Je to jako znát názvy kostí, svalů, nervů. Je to základní jazyk stomatologie. Bez něj neexistuje přesná diagnóza, bez něj neexistuje bezpečná léčba, bez něj neexistuje důvěra mezi lékařem a pacientem.

Tyto čísla - 11, 16, 37 - nejsou jen čísla. Jsou klíčem k ústnímu zdraví. Když je poznáš, poznáš i to, co se děje uvnitř úst. A to je první krok k tomu, abyš se stal nejen studentem, ale stomatologem.

Proč se používá číselný systém FDI pro označení zubů?

FDI (Fédération Dentaire Internationale) je mezinárodní standard, který umožňuje přesnou komunikaci mezi stomatology po celém světě. Každý zub má dvoumístné číslo, které určuje kvadrant a pozici v něm. Tento systém je univerzální, nezávislý na jazyce a snadno převoditelný do digitálních systémů. V České republice a většině evropských zemí je FDI jediným používaným systémem v klinické praxi a výuce.

Kolik zubů má dospělý člověk a jak se počítají?

Dospělý člověk má 32 trvalých zubů, pokud má všechny třetí moláry (zuby moudrosti). Zuby se počítají od 1 do 32 podle systému FDI: horní pravý kvadrant (11-18), horní levý (21-28), dolní levý (31-38), dolní pravý (41-48). Každý kvadrant obsahuje 8 zubů: dva řezáky, kličkový, dva předkličkové, dva moláry a třetí molár.

Mají mléčné zuby stejný systém označení jako trvalé?

Ne. Mléčné zuby používají stejný systém FDI, ale čísla jsou jiná: od 51 do 85. První číslice označuje kvadrant (5-8), druhá číslice označuje pořadí zubu v kvadrantu (1-5). Mléčné zuby neobsahují předkličkové zuby, takže v každém kvadrantu je pouze 5 zubů. Tento systém umožňuje jednoznačně rozlišit mezi mléčnými a trvalými zuby v záznamech.

Co znamená značka „18“ na zubním diagramu?

Značka „18“ označuje horní pravý třetí molár - tzv. zub moudrosti. Tento zub se obvykle začíná vyrůstat mezi 17 a 25 lety. Někteří lidé jej nemají vůbec, jiní jej mají jen v jedné čelisti. Pokud je na diagramu označen jako „18“, znamená to, že tento zub je přítomen. Pokud je označen jako „18 odstraněný“, znamená to, že byl vyjmut.

Je možné, že někdo má více než 32 zubů?

Ano. Někteří lidé mají přebytečné zuby, tzv. „supernumerární zuby“. Ty se nejčastěji vyskytují v oblasti horních řezáků (např. mezi 11 a 12) a označují se jako „51+“ nebo „19“. Tyto zuby mohou způsobit nesprávné zarovnání, zablokování jiných zubů nebo problémy s vývojem čelisti. V takovém případě se často vyžaduje jejich odstranění.