Author: Eliška Sedláčková

5 tipů, jak překonat strach z dětské stomatologie

Strach z dětské stomatologie je běžný, ale řešit ho lze. Zjistěte, jak překonat strach u dětí pomocí klidné komunikace, příběhů, správného výběru lékaře a důvěry. Bez nátlaku, bez výhrožeb.

Pokračovat ve čtení

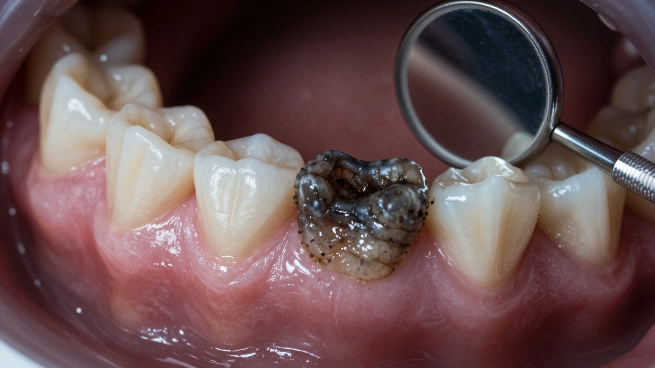
Zubní plak u dětí - praktický průvodce pro rodiče

Praktický průvodce pro rodiče, jak rozpoznat, předcházet a odstraňovat zubní plak u dětí. Naučte se správnou techniku, výživu i kdy vyhledat stomatologa.

Pokračovat ve čtení

Fazety na přední zuby - tipy pro dokonalý výsledek

Kompletní průvodce fazetami na přední zuby - typy, cena, proces nasazení, výběr specialisty a tipy na péči pro dokonalý úsměv.

Pokračovat ve čtení

Jak se zbavit mezery mezi zuby bez rovnátek - celokeramické fazety a jiné možnosti

Zjistěte, jak vyplnit mezery mezi zuby bez rovnátka - celokeramické fazety, bonding, Invisalign i další možnosti, s porovnáním, náklady a péčí.

Pokračovat ve čtení

Jak zmírnit citlivé zuby: praktické tipy a prevence

Zjistěte příčiny citlivých zubů, okamžité úlevy i dlouhodobou prevenci. Praktické tipy, srovnání past a kdy navštívit zubního lékaře.

Pokračovat ve čtení

Jak si nechat profesionálně opravit zuby: Průvodce pro zdravý úsměv

Tento článek poskytuje praktické informace o tom, jak si nechat opravit zuby. Dozvíte se, jak najít dobrého zubaře, jaké moderní metody a technologie jsou k dispozici pro opravy zubů, a co očekávat během samotného zákroku. Také nabídneme několik tipů, jak pečovat o zuby, aby se problémy v budoucnu minimalizovaly. Zdravý úsměv začíná informovaností a správnou péčí.

Pokračovat ve čtení

Kdy rostou poslední stoličky a jak zařídit bezbolestný růst

Kdy rostou poslední stoličky? Tento článek nabízí přehled o růstu tzv. moudráků, kdy se objevují, jaké problémy mohou způsobit a jak se o ně starat. Můžete se také dozvědět pár dobrých tipů, jak zvládnout případné bolesti a komplikace spojené s růstem těchto zadních zubů.

Pokračovat ve čtení

Vše, co potřebujete vědět o nasazování zubního můstku

Nasazení zubního můstku je běžným zákrokem v oblasti dentální péče, který pomáhá obnovit funkčnost i estetiku ztracených zubů. Tento článek vás provede všemi kroky procesu, od přípravy po samotné nasazení a péči o nový můstek. Získáte užitečné tipy, jak udržet svůj můstek v nejlepším stavu, a dozvíte se zajímavé informace o tom, jak tento zákrok může zlepšit nejen váš úsměv, ale i kvalitu života.

Pokračovat ve čtení

Fazety na přední zuby: Jaké jsou perspektivy na budoucnost

Ahooj! V poslední době se stále častěji mluví o fazetách na přední zuby. Je to skvělý způsob, jak se rychle a efektivně zbavit všech nedostatků v úsměvu. Ale jaké jsou perspektivy této dentální procedury do budoucna? No, nechte mě vás provést světem fazet a diskutovat o tom, kam se tato oblast vyvíjí. Tento článek je plný zajímavých informací a určitě vás upoutá.

Pokračovat ve čtení

Jak se vyhnout bolesti při nošení fixních rovnátek

Jsem žena, která se potýká s bolestí při nošení fixních rovnátek stejně jako vy. Připravila jsem pro vás pár tipů a triků, jak se vyhnout nepříjemnostem. Tato příspěvěk obsahuje rady od odborníků z oboru ortodoncie a zkoumá různé způsoby, jak zvládnout a minimalizovat bolest při nošení fixních rovnátek. Podělím se s vámi o své zkušenosti, abych vám pomohla procházet kroz tuto cestu co nejsnadněji.

Pokračovat ve čtení